iTero 3D Scanner
At White Brown Smiles, we use the advanced iTero 3D scanner to enhance your orthodontic experience. This cutting-edge technology eliminates the need for messy, traditional impressions by creating highly detailed digital models of your teeth and bite. The process is quick, comfortable, and ensures we have the most accurate data for your personalized orthodontic treatment plan.
Benefits of the iTero Scanner
- Enhanced Accuracy — With precise 3D imaging, we can map out your treatment with greater detail, leading to more predictable results.
- Comfortable Experience — No sticky molds or discomfort — just a simple, non-invasive scan.
- Faster Treatment Planning — The digital images are instantly available, allowing us to start planning your smile transformation right away.
- Visualize Your Results — With iTero’s advanced technology, you can see a simulation of your future smile before treatment even begins!
Whether you’re considering Invisalign, braces, or other orthodontic solutions, the iTero scanner ensures your treatment is tailored for the best possible outcome.
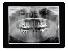
Digital Imaging
Digital imaging is a cornerstone of modern orthodontic care at White Brown Smiles. By utilizing advanced imaging technology, we’re able to get a comprehensive view of your teeth, jaw, and facial structure, ensuring a precise diagnosis and customized treatment plan.
Advantages of Digital Imaging
- Detailed Diagnosis — High-resolution digital images reveal even the smallest details, helping us identify potential issues early.
- Minimized Radiation — Digital imaging uses significantly less radiation than traditional X-rays, ensuring a safer experience for patients of all ages.
- Efficient Treatment Planning — With instant access to images, we can design and adjust your treatment plan quickly and accurately.
- Improved Communication — Digital images allow us to clearly explain your orthodontic needs and show you the areas we’ll be addressing.
Digital imaging ensures we have all the information we need to provide you with the highest standard of care, setting the stage for exceptional results.

